Tópico relativo, sobre todo, a los adultos mayores, lo idóneo es mantenerlo siempre presente dada su importancia y estar vigilantes ante cualquier alerta.
Corazón cansado: insuficiencia cardíaca.
Estamos hablando de uno de los temas más recurrentes en materia de salud.
Se encuentra entre las enfermedades del corazón que pueden demandar, inclusive, trasplante.
Cuando se registra insuficiencia cardíaca con frecuencia la sangre retrocede. El líquido, entonces, se puede acumular en los pulmones.
Corazón cansado: Insuficiencia cardíaca. Causas frecuentes.
Según explica el médico español Fernando Fernández Bueno, el conocido «Doctor Bueno», la anomalía puede tener varias causas.
«El corazón no trabaja bien, no es capaz de bombear la suficiente sangre con la fuerza y la cadencia necesarias para irrigar a todos los órganos», dice el conductor del espacio de Youtube «Medicina Clara».
«La insuficiencia cardíaca no ocurre de repente: por regla general el corazón adopta tal cuadro con el paso de los años», aclarando que muchas personas mayores lo padecen.
«A algunos de ellos les sucede por arritmia, a otros porque tienen una cardiopatía isquémica, a otros porque presentan problemas en las válvulas del corazón», dice.

Corazón cansado: Insuficiencia cardíaca. Miocardio y arterias.
Anomalías en el miocardio, el músculo que bombea la sangre, también se encuentran entre las causas de la insuficiencia cardíaca.
Igualmente, arterias estrechas o presión arterial alta generan debilidad o rigidez progresiva en el corazón.
«También irregularidades metabólicas o una anemia severa», agrega el galeno egresado de la Universidad Rey Juan Carlos, de Madrid.
«Afecta a hombres y a mujeres. Por regla general, como dijimos, a personas de una edad avanzada».

Corazón cansado: Insuficiencia cardíaca. Síntomas del trastorno
El profesional de la salud aborda los síntomas del trastorno que perjudica al corazón.
«Vamos a notar en las personas cansancio, que los pies se hinchan, que cuando se está sentado o tumbado cuesta respirar, que las micciones nocturnas van a tener una frecuencia superior a la normal», manifiesta el facultativo.
En este particular conviene especificar que la cantidad de veces que se orina se vincula comúnmente con un asunto relativo solo a la próstata. Pues, resulta que no debe desligarse de la insuficiencia cardíaca.
Otros signos a destacar son la falta de apetito, la hinchazón abdominal, latidos irregulares, menor capacidad para realizar ejercicio, el aumento de peso y las náuseas, entre diversas manifestaciones.
«Lo más importante es el cansancio; la disnea, que la sentimos al dar unos pasos y experimentar enseguida agotamiento; y la hinchazón de pies, tobillos y, a veces, hasta de las rodillas», indica.
La miocardiopatía en agenda
El «Doctor Bueno» menciona, igualmente, la arritmia, en principal, la fibrilación auricular, y las miocardiopatías o enfermedades del músculo.
«En este último aspecto tenemos la miocardiopatía alcohólica, referida a las personas que ingieren licor en exceso. Eso hace que el corazón se vaya haciendo muy grande y no trabaje bien, que sea incapaz de bombear».
No olvida las valvulopatías o alteración de las válvulas del corazón, que ocasiona su anormal funcionamiento en el paso de la sangre.

Diagnóstico de la patología
¿Cómo se diagnostica la insuficiencia cardíaca?
«Por regla general el primer diagnóstico lo hace el médico de atención primaria, y en los casos en que se realicen estudios más avanzados o haya complicaciones, el cardiólogo es el especialista correspondiente».
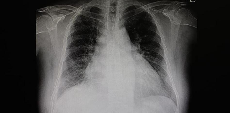
«El cardiólogo hará diferentes pruebas que incluyen una radiografía de tórax, un electrocardiograma, un ecocardiograma y el uso de un monitor Holter».
Asimismo, el médico chequeará si el paciente es diabético, si tiene sobrepeso, junto con la supervisión de los hábitos de vida y la medicación. Con tal historia clínica se determinará el grado de insuficiencia cardíaca.
«Una vez diagnosticado vendrá el tratamiento, El primero está dirigido a la base que ha provocado la irregularidad. Si se trata de una fibrilación auricular trabajar en ello, si es el caso de una cardiopatía isquémica concentrarse en los vasos obstruidos».

Doctor, su palabra vaya adelante
Entre las recomendaciones clínicas se contemplan la reducción de peso, el control de la tensión arterial y el de las cifras de azúcar.
Luego, el siguiente paso es la medicación.
«En cuanto a fármacos los que se utilizan inicialmente son los diuréticos», asevera el hombre de ciencia.
«Después hay otros medicamentos que pueden sustituir a estos o combinarse, como son los inhibidores de la enzima convertidora de la angiotensina», agregando que también se pueden usar betabloqueantes.
«En algunos pacientes que presenten problemas que la medicación no controle, puede requerirse un dispositivo que hará que el corazón no se detenga de repente», indica el conductor de «Medicina Clara».
La última instancia es el trasplante cardíaco.
Fernández Bueno informa que afortunadamente la gran mayoría de quienes sufren de insuficiencia cardíaca se controla con medicación contra la causa que lo provoca, sin tener que llegar al recurso extremo.
A quienes se toman la materia con ligereza el «Doctor Bueno» les advierte que la insuficiencia cardíaca es un asunto serio, una patología que puede comprometer la vida del paciente.
Entre las pautas médicas a observar, además de las que hemos mencionado, incluimos el no fumar, mantenerse físicamente activo, consumir alimentos saludables y reducir el estrés.
Tomado de Medicina Clara con el Dr. Bueno, Mayo Clinic, Cirugía Cardiovascular Sevilla.
También puede interesarte: Hipertensión arterial explicaciones que toda persona debe conocer.