Cuando se habla de bruxismo pocos saben que se trata del rechinamiento y apretar de dientes de forma desmesurada. Este hábito puede traer consecuencias no solo odontológicas y musculares sino también psicológicas.
Bruxismo: rechinar los dientes.
Al nombrar este hábito no advertimos, en primera instancia, las consecuencias que conlleva.
Su principal desencadenante se sitúa en el plano psicológico aunque las repercusiones se extienden al aspecto odontológico.
En tal parafunción se aprietan los dientes y se contraen los músculos de manera involuntaria.
La mayoría de las veces ocurre durante el sueño, de manera involuntaria, pero también puede presentarse en el día.
Afecta por igual a hombres y mujeres.
Bruxismo: Rechinar de dientes. Generalidades
Las personas que sufren de bruxismo aprietan con fuerza los dientes superiores con los inferiores. También pueden moverlos de atrás hacia adelante y viceversa.
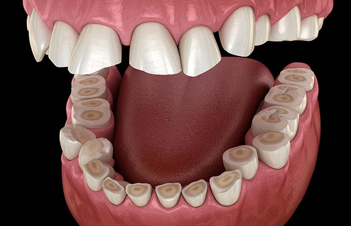
Este movimiento produce el desgaste de las piezas dentales.
También puede perjudicar a los músculos que inciden en la mandíbula y en la articulación temporomandibular, la cual se altera con la oclusión forzada y el apretar continuo.
Se ignora la causa precisa del bruxismo. Los especialistas coinciden en que se trata de una forma de liberar el estrés.
En cualquier caso la persona que lo padece no prieta con la misma intensidad o al mismo tiempo todos los días.
Se cree que el estrés provoca que haya puntos de fuga o válvulas de escape lo cual conlleva al rechinar de dientes.
La persona bruxista no deja de serlo a lo largo de su vida y los tratamientos buscan eliminar o reducir los problemas derivados de dicha situación.
Además del estrés, otros factores asociados son el tipo de alimentación, los hábitos del sueño, la postura, la alineación de los dientes y la incapacidad para relajarse.
Quien rechina los dientes, corroboramos, no se da cuenta de ello. Por lo tanto la persona que duerme a su lado es la que se percata del ruido producido.

Bruxismo: Rechinar de dientes. Manifestaciones y consecuencias
Al despertar, el bruxismo puede ocasionar dolor, tensión o signos de contractura sobre los músculos que cierran la mandíbula.
Estos son los maseteros, temporales y pterigoideos.
También se puede presentar rigidez para abrir la boca por haber estado contraído el músculo durante la noche.
Además, es factible que aparezca dolor de cabeza y dolor facial.
En casos muy extremos el bruxismo origina el desgaste de los dientes, especialmente los incisivos y los caninos.
Igualmente, se pueden observar cambios en la morfología del rostro, con sobremordida, ángulos mandibulares muy marcados, cara corta y musculatura fácil hipertrofiada.
Otros síntomas vinculados son ansiedad; depresión; dolor del oído: sensibilidad a las cosas calientes frías o dulces; trastornos alimentarios; e insomnio.
Además de las horas del sueño, la persona aprieta los dientes mientras se encuentra en el trabajo o realizando ejercicio físico. Por eso se le aconseja relajar la boca y no apretar los dientes.
Es común que a largo plazo aparezca un síndrome de dolor miofacial en las zonas donde se insertar los músculos que cierran la mandíbula.

Ayuda especializada
Y aunque el tratamiento alivia el dolor no consigue desaparecer el bruxismo.
Muchos no acuden al médico por la anomalía. Es el dentista quien la detecta y la aborda. Igualmente, el cirujano maxilofacial.
Además de consultarse al paciente si siente dolor en los músculos de la cara y cuello, ayuda en el diagnóstico observar el desgaste de los dientes.
Asimismo, a través de la palpación de la zona se aprecian los músculos que se encuentran hipertróficos y las áreas contracturadas.
Mediante una radiografía se observa la morfología de la mandíbula. Si los músculos son potentes el hueso se desarrolla más en el perímetro donde se insertan.
Algunos bruxistas muestran que el ángulo de la mandíbula se desarrolla con mayor amplitud. Se ve que el cóndilo, la parte alta de la mandíbula donde se articula, es muy redondo y voluminoso.

Tratamiento
Las terapias aplicadas en caso de bruxismo están orientadas a la reducción al dolor, desgaste de los dientes y de que se sufran daños permanentes en la mandíbula.
Por supuesto, también disminuir el rechinamiento.
Se ordenan medidas generales que contemplan una dieta blanda, que reduzca alimentos que obliguen a masticar mucho; aplicar calor en la zona de los músculos maseteros y temporales; y llevar una buena higiene del sueño.
Otra de las recomendaciones es realizar ejercicio físico que ayude a la relajación. Yoga y pilates ayudan bastante.
Hay casos en los que se dispone de una férula de descarga o miorrelajante.
Se trata de un dispositivo rígido de acrílico que se coloca en la arcada superior coadyuvando a que los músculos y las articulaciones se descompriman.
La férula tiene efectividad en 80 % de los pacientes, a decir de los entendidos.
Po otra parte, se aconseja fisioterapia para remediar la contractura que produce el bruxismo en los músculos,
Finalmente, si estas medidas no son suficientes, es factible la infiltración en el músculo de toxina botulínica – botox -, para restarle fuerza.
Esto se produce al inhibir la liberación de la acetilcolina, un neurotransmisor que manda el nervio al músculo para que se contraiga de la placa motora.
Así que quien padezca de bruxismo debe ponerse en asistencia clínica y no descuidar su situación, previniendo situaciones que pueden complicarse.
Tomado de Cuídate, Mayo Clinic, Friedländer Clínica Dental y Ortodoncia.
También puede interesarte: Narcolepsia o quedarse dormido de repente.